
West Dulwich Dental
Composite Bonding
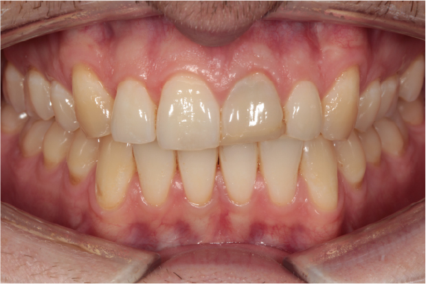
Restoring confident, natural smiles with composite bonding, offering quick, minimally invasive, and effective smile enhancement solutions for patients in West Dulwich and surrounding areas.
What is composite bonding?
Composite bonding is a simple and painless cosmetic dental treatment that can update how your teeth look for a stunning new smile.
Patients from West Dulwich, Sydenham, Tulse Hill, West Norwood and London are turning to composite bonding to change how their teeth look.
Composite bonding which is also known as tooth bonding or dental bonding is a type of resin which can be moulded to teeth to change how they appear. Composite bonding can be used to disguise flaws such as:
- Heavily dis-coloured teeth
- Chipped or cracked teeth
- A crooked or twisted tooth
- Uneven teeth
- Pointy and short teeth
Get in touch for a consultation and find out how composite bonding can change your smile!
Start Your Consultation Today
How does composite bonding work in West Dulwich?
A step-by-step guide to composite bonding for a perfect smile – from a dentist near you
What are the benefits of composite bonding at West Dulwich Dental?
At West Dulwich Dental, our approachable team can discuss all the benefits of composite bonding including:
- Composite bonding can be used to treat a range of imperfections including chipped, uneven, gappy or stained teeth.
- Dental bonding is a simple and easy cosmetic dental treatment which means you can leave our practice after a single visit with a noticeable new smile.
- Dental bonding is a painless treatment. In some instances, you may not need an injection, anaesthetic or any drilling.
- Composite bonding is an affordable treatment which can change the look of your teeth.
Get in touch with our friendly team to find out more about composite bonding.