West Dulwich Dental
Dental Implants
Restoring confident, natural smiles with high-quality dental implants, providing long-lasting, secure tooth replacement solutions for patients in West Dulwich and surrounding areas.
4.9 Rated on Google
2K+ Successful Impalnts
15+ years Experience
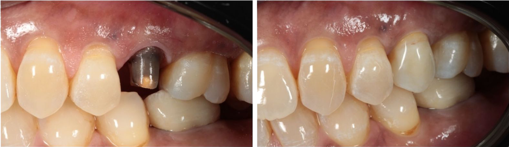
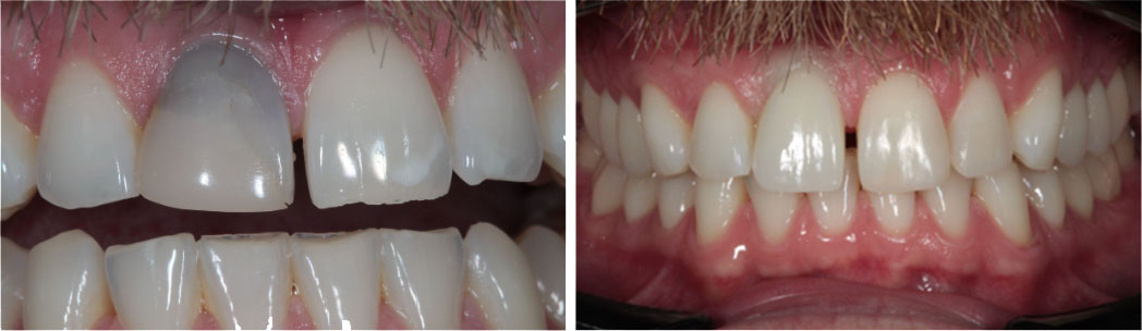
Are You Missing Teeth? Dental Implants Can Replace Missing Teeth
Traditionally, removable dentures and fixed bridges were once the only solutions to replace missing teeth.
Today, Dental Implants are quickly becoming the ideal option. The structure is just like a natural tooth, consisting of a titanium screw (the implant) to act as a root.
This is placed into the jawbone and acts as a base to which a replacement tooth is fixed. Like a natural tooth, a dental implant needs proper maintenance and in doing so, can last for at least 15 years or possibly a lifetime.
What is the process for Dental Implants in West Dulwich?
A step-by-step guide to Dental Implant for a perfect smile – from a dentist near you
Start Your Consultation Today
In-House CBCT/OPG
To offer our patients the best in Dental Technology
Sirona Orthophos S
This is the scanner that sets a new standard in patient protection and infection control. It is not only hygienic by design, but also smaller, lighter, and designed to fit perfectly in every hand. On top of that, it comes with our new ScanAssist engine for perfect scan results, for ultimate connectivity. Simply hygienic. Simply ergonomic. Simply effortless.

Experience Better Dental Care with Sirona Orthophos S
The Sirona Orthophos S brings you the latest in dental imaging technology, designed to enhance your comfort and improve your treatment outcomes:

Clearer, More Accurate Images
- Sharp, focused images even in complex cases
- Helps your dentist make more precise diagnoses

Flexible Imaging Options
- Various scan sizes to suit your specific needs
- Reduces unnecessary radiation exposure

Comfortable and Consistent Positioning
- Patented bite block ensures you're positioned correctly every time
- Motorized supports and sturdy handles for your comfort and stability

Lower Radiation Dose
- Option for 3D images with radiation levels similar to traditional 2D X-rays
- High-definition images available when needed for detailed examinations

Comprehensive Imaging Capabilities
- One machine for all your dental imaging needs
- Optional ceph arm for orthodontic imaging

Quick and Efficient Scans
- Streamlined process saves you time in the dental chair
With the Sirona Orthophos S, you can feel confident knowing your dentist is using advanced technology to provide you with the best possible care.

3 Shape Trios 5
This is the scanner that sets a new standard in patient protection and infection control. It is not only hygienic by design, but also smaller, lighter, and designed to fit perfectly in every hand. On top of that, it comes with our new ScanAssist engine for perfect scan results, for ultimate connectivity. Simply hygienic. Simply ergonomic. Simply effortless.
Intelligent scanning - ScanAssist Engine
We worked hard on making scanning even simpler. At the heart of TRIOS 5 is our ScanAssist engine.
Its intelligent alignment technology for building up a 3D model results in precision scans, effortlessly and efficiently. Every time. So you can concentrate on providing the excellent care that makes your patients smile.

Experience Comfortable, Safe, and Efficient Dental Scans with 3 Shape Trios 5
The 3Shape Trios 5 brings you the latest in dental scanning technology, designed to enhance your comfort, safety, and overall dental experience:

Superior Hygiene and Infection Control
- Sets a new standard in patient protection
- Designed with your health and safety in mind

Comfortable Scanning Experience
- Smaller and lighter scanner
- Fits perfectly in your dentist's hand for easier maneuvering

Quick and Effortless Scans
- Intelligent ScanAssist Engine ensures precise scans every time
- Reduces time spent in the dental chair

Improved Accuracy
- Advanced technology creates highly accurate 3D models of your teeth
- Helps your dentist provide better-fitting restorations and treatments

Enhanced Patient Care
- Allows your dentist to focus more on your needs and less on operating the equipment
- Supports a wide range of dental procedures for comprehensive care

Seamless Integration with Your Treatment Plan
- Ultimate connectivity ensures your scan data is readily available for your treatment
With the 3 Shape Trios 5, you can enjoy a more comfortable scanning experience while knowing that your dentist is using cutting-edge technology to provide you with the best possible care.
Why Dental Implants Are the Most Cost-Effective, Long-Term Tooth Replacement Solution
At West Dulwich Dental, our approachable team can discuss all the benefits of dental implants including:
- Compared to dentures or bridges, which may need replacing multiple times over a lifetime, dental implants are more cost-effective in the long term when properly maintained.
- Dentures are removable and must be taken out for cleaning. Over time, they often become loose or ill-fitting and usually need to be replaced.
- Dental bridges rely on adjacent healthy teeth, which must be shaved down to act as anchors. If these supporting teeth fail, it can lead to more missing teeth in the future.
- Dental implants are a fixed solution that replaces one or more teeth and does not depend on neighbouring natural teeth for support.
- Every case is carefully planned and discussed with you to ensure the best possible treatment outcome.
Get in touch with our friendly team to find out more about dental implants.